Hemisferios Cerebrales y Quiropráctica en Mataró
Explora cómo la quiropráctica en Mataró puede ayudarte a equilibrar tus hemisferios cerebrales, mejorando tu…
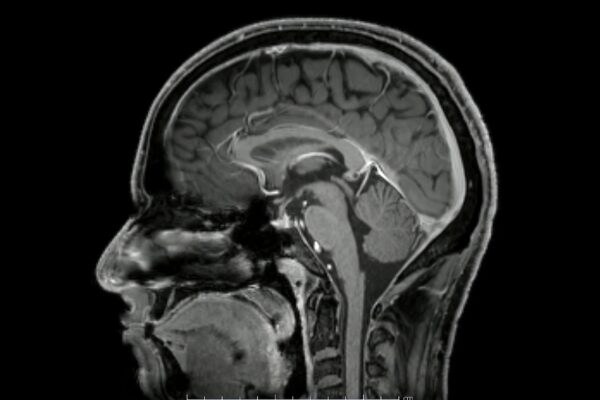
Cómo las Hernias Discales Afectan al Cerebro
Las hernias discales no solo afectan la espalda; pueden causar cambios cerebrales significativos. Aprende cómo…
Quiropráctica para el Latigazo Cervical en Mataró
El latigazo cervical puede causar molestias a corto y largo plazo. En nuestro centro de…
Cómo la quiropráctica mejora el trastorno del sueño
Quiropráctica y trastorno del sueño
Hiperactividad y Quiropráctica: Soluciones Naturales
La quiropráctica en Mataró ofrece soluciones naturales para mejorar la vida de niños y adultos…
Vértigos y Quiropráctico en Mataró
¿Sabías que un quiropráctico en Mataró puede ofrecerte una solución natural para el vértigo? Explora…
Estenosis Espinal: Explicación y Soluciones Quiroprácticas
La estenosis espinal es una condición que afecta a muchas personas mayores, causando dolor y…
Quemar Calorías sin Sudar con Quiropráctica
¿Sabías que un quiropráctico en Mataró puede ayudarte a quemar calorías sin sudar? Descubre cómo…
Quiropráctica y Kitesurf: Un Binomio Saludable
La quiropráctica es esencial para quienes buscan mejorar su rendimiento en kitesurf. En el Centro…








