Fases de degeneración de la columna vertebral
La degeneración de la columna es un proceso progresivo con 4 fases claramente identificables. Cuanto antes actúes, más puedes recuperar tu salud vertebral.
Las 4 fases de degeneración de la columna
Poco después del descubrimiento de los rayos X, los quiroprácticos empezaron a utilizar esta herramienta para identificar el estado de la columna vertebral. La degeneración es un proceso que puede revelarse con esta técnica.
Curvatura Normal

El cuello tiene una elegante curvatura hacia adelante. Los bordes de cada hueso están bien definidos, con el mismo espacio discal entre cada hueso y aperturas nerviosas claras y sin obstrucciones.
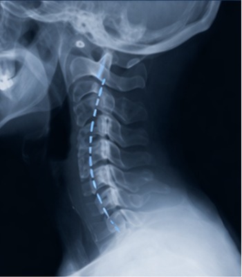
Fase 1 – Inicio

Pérdida de la curva normal. Aunque este proceso puede ocurrir en cualquier parte de la columna, es más fácil de observar en el cuello. Se puede revertir con cuidado quiropráctico.
Fase 2 – Degeneración

Deformación de los bordes de los huesos (espolones óseos). Disminución del espacio discal. Los cambios son más evidentes pero aún responden al cuidado quiropráctico regular.
Fase 3 – Avanzada

Fusión de los huesos. Pérdida significativa del espacio discal. Requiere cuidado quiropráctico intensivo. El objetivo es detener el progreso y mejorar la función nerviosa.
¿Qué fase tienes tú?
La única forma de saberlo es con una evaluación quiropráctica. Cuanto antes actúes, más puedes recuperar. No esperes a que los síntomas se vuelvan insoportables.
